両側眼瞼下垂を伴うサンケンアイ症例

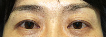
施術前

1カ月後

通常時の状態

最大に目を開いた状態
眼瞼下垂を伴うサンケンアイの症例です。目の上の凹み(サンケンアイ)の症状により、年齢よりも老けて診られるということでした。所見として、目の上の凹み(サンケンアイ)、重瞼ラインが広い、また目を大きく開いてもらっても殆ど通常の状態と変わりません。これは眼瞼下垂の状態です。手術は局所麻酔下にて挙筋腱膜再固定術を行いました。

開瞼時のデザインの位置

閉瞼時のデザインの位置
瞼縁から約6mmにデザインした状態です。このようなサンケンアイの症例では皮膚を切除しません。目が開きにくい原因が皮膚のたるみではないためです。

施術前(開瞼)

1カ月後(開瞼)
施術後1カ月では重瞼ラインが下がり、目の開きが良くなっています。また目の上の凹み(サンケンアイ)が改善しています。かなり若返った印象です。

施術前 (閉瞼)

1カ月後 (閉瞼)
術後1カ月の傷ですが重瞼ラインとして落ち着いています。時間の経過とともにさらに目立たなくなるでしょう。

施術前 (最大開瞼)

1カ月後(最大開瞼)
眼瞼下垂によって開きにくかったため、術前では前頭筋を使って(眉毛の挙上とおでこのシワ)目を開けていましたが、これらも改善されています。目を最大に開けた状態(最大開瞼)ですが、目も開きやすくなっています。
| 性別 | 女性 |
| 症状 | 両側眼瞼下垂を伴うサンケンアイ |
| 施術名 | 挙筋腱膜再固定術 |
リスク・副作用・合併症
内出血、腫脹、左右差、再発、浅い重瞼線、深い重瞼線、不整な重瞼線(予定外重瞼線)、不整な瞼縁(アーチ)、開瞼抵抗、低矯正(目の開きが悪い)、過矯正(目が開きすぎる)、角膜炎、ドライアイ、傷の哆開(しかい;傷が開く)、瘢痕形成(傷の肥厚や陥凹など傷跡が残る)、中縫いの糸が出てくることがある、縫合糸膿瘍、眼瞼痙攣、抑うつ・不眠など自律神経症状、頭痛、目の奥の痛み、ヘリングの法則、自分が想像していた結果と異なるなどが考えられます。
※before & afterの画像は参考画像であり効果や満足度は症例により異なりますのでご了承ください。
上まぶたを瞳孔の上までしか上げられず、正面視(顔を正面に向けて目はまっすぐ前を見た状態)で瞼縁が瞳孔にかかった状態が眼瞼下垂(がんけんかすい)です。先天性眼瞼下垂、後天性眼瞼下垂、偽眼瞼下垂の3タイプがあり、治療法は原因や下垂の程度によって異なります。なかでも後天性眼瞼下垂(とくに腱膜性眼瞼下垂)が最も多いと言われています。眼瞼下垂の種類とそれぞれの手術法について解説しましょう。
もともとは正常に上げることができたのに、徐々に、あるいは急に上まぶたが下がってきた状態です。特に腱膜性眼瞼下垂(けんまくせいがんけんかすい)は、目をあげる筋肉(上眼瞼挙筋)が瞼板に付着する部分の腱膜(挙筋腱膜)がゆるむことで起き、最も頻度が高いものです。
腱膜(挙筋腱膜)がゆるむ原因は加齢、ハードコンタクトレンズの長期使用など。白内障・緑内障・硝子体手術を行った既往のある方にも多いとされています。

約80%が片側性で、生後より上まぶたが下がっていることで診断できます。先天的な上眼瞼挙筋の発達異常、筋肉を支配する神経の異常が多く、まれに弱視や斜視の原因になります。弱視や斜視の傾向があればすぐに手術が必要になりますが、それ以外は経過観察でよいでしょう(適切な手術時期は医師と相談して決めましょう)。
眼瞼痙攣などが原因で眼瞼下垂のように見える状態。“みかけの眼瞼下垂”とも言われています。特に眼瞼痙攣による眼瞼下垂は、眼瞼下垂の手術を行っても改善しないので、注意が必要です。
二重まぶた埋没法などの施術後、腫れが引いても目の開きが悪い状態を医原性眼瞼下垂と言います。時には眼瞼痙攣や頭痛を伴います。改善するには、埋没した糸を外す必要があります。
眼瞼下垂は挙筋機能検査(levator function)、瞼縁角膜反射距離(MRD)、瞼裂高の3種類の検査で判定します。


MRDは角膜反射(瞳孔中央)から上眼瞼縁までの距離のことで、目の開き具合、左右差を確認します。2.7~5.5mmが正常、約1.5~2.7mmで軽度下垂、約-0.5~1.5mmで中等度下垂、-0.5mm以下は重度下垂と判定します。
※角膜反射から下眼瞼縁までの位置をはかることで、上下左右の眼瞼の相対的位置関係を判定できます。


瞼裂高は角膜(黒目)の最下端から上眼瞼縁までの距離のことで、角膜(黒目)の見え方で下垂の程度を判定します。通常約10mm以上が正常、約6~9mmで中等度~軽度下垂、5mm以下は重度下垂とします。


眼瞼挙筋機能の低下の程度を調べる検査です。下記の手順で測定し判定します。
8mm以上で正常、4~7mmで中等度~軽度下垂、3mm以下で重度下垂と判定します。
※腱膜性眼瞼下垂は、腱膜付着部が少しずれただけで、上眼瞼挙筋の挙上機能は問題ありません。
※上機能が低下していれば、筋肉あるいはそれを動かす神経に問題があると判定できます。
※突然上まぶたが下がるような場合は、脳梗塞・脳動脈瘤・糖尿病などによる動眼神経麻痺などが疑われますので、CTやMRI検査や血液検査が必要になります。
※日内変動(朝は目が開きやすいのに、夕方になると開かなくなる)が大きい場合は、重症筋無力症が考えられ血液検査が必要になります。
片眼が眼瞼下垂の場合、その片側だけ眼瞼下垂手術を行うと、反対側(もともと眼瞼下垂ではない健常側)の目の開きが悪くなることがあります。これをヘリングの法則と言います。たとえば右目が眼瞼下垂の場合、左目はまぶたを一生懸命開くように作用します。手術により右目の眼瞼下垂が改善すると、頑張っていた健常側の左目は「役目が終わった」と思い、開きが悪くなっていくのです。もちろん全例に生じるわけではありませんが、片側の眼瞼下垂の手術を行う場合、必ず患者様にお伝えしています。
上眼瞼挙筋の挙上機能が低下すると、まぶたを上げることが難しく、無意識のうちにおでこの筋肉(前頭筋)を使って、上まぶたを上げる補助を行うようになります。

眉毛の位置が上がる

おでこにシワがよる

あごを上げて見るようになる

頭痛、肩こり、眼精疲労がある
※上眼瞼挙筋の挙筋腱膜は二重まぶたを作る腱膜でもあり、眼瞼下垂になると通常の位置からずれることで二重の幅が広くなる、場合によっては三重まぶたになることもあります。
ここでは治療法『挙筋腱膜再固定術』と『前頭筋吊り上げ術』について解説します。
治療法については、医師とのカウンセリングにより決定します。それぞれの状態に合った施術を行います。
治療は保険診療で行っております。詳しくはお問合せください。
1 手術は局所麻酔で行います。皮膚切開(皮膚のたるみがある場合は皮膚を切除します)を行い、瞼板から挙筋腱膜を剥離します。
2 続いて挙筋腱膜とミュラー筋の間を剥離し、挙筋腱膜だけを前転します。
3 前転した挙筋腱膜を、瞼板にナイロン糸で再固定します(ナイロン糸は体内に残しておいても問題ありません)。最後に皮膚をナイロン糸で縫合します。抜糸は術後5~8日目で行います(抜糸の時期は医師の判断により異なります)。



挙筋機能がなく挙筋腱膜再固定術、挙筋短縮術、挙筋腱膜タッキングなどの眼瞼下垂手術で改善が見込めない場合、適応となります。
※挙筋機能とは顔を正面に向け、顔を動かさずに下を見た最大の時と上を見た最大の時の瞼縁(まつ毛付着部あたり)の移動距離で測定します。正常は約15mmです。
手術は局所麻酔で行います。挙筋機能がなく、上まぶたを自力であげることができないために、前頭筋の収縮によって上まぶたを挙上できるように、前頭筋と上まぶたの瞼板を吊り上げ材料(大腿筋膜やゴアテックス)で固定します。
1 眉毛の上に2箇所、瞼縁から上2mmに2カ所、合計4カ所を切開します。
2 それぞれを皮下トンネルでつなげます。
3 トンネルの中に、吊り上げ材料を通します。
4 最後に皮膚をナイロン糸で縫合します。抜糸は術後5~7日目に行います。
※吊り上げ材料に筋膜を使用する場合、利き足でない方の大腿から筋膜を採取します(日常生活等に差し支えることはありません)。大腿外側を2カ所(それぞれ3cmずつ)切開し、筋膜を採取します。採取した筋膜を細工し、吊り上げの材料として使用します。
※ゴアテックスは人工物ですので採取する必要はなく、そのまま吊り上げ材料として使用します。
※大腿から筋膜を採取した場合、採取部の安静が必要なので術後1カ月は大腿部を圧迫するサポーターを使用します。
目の周囲は血管が豊富で、皮膚が薄く腫れやすいので、以下の事に気をつけてください。
■術後2~3日は血液循環がよくなること(入浴・飲酒・激しい運動など)は避けてください。
■術後最低3週間はコンタクトレンズの使用を避けてください(ハードコンタクトレンズの長期使用は、眼瞼下垂の原因になる可能性があるのですすめません)。
■術後3週間はお化粧を避けてください。こするなどの刺激により、傷が汚くなるのを防ぐためです。
◆二重全切開・眼瞼下垂の術後に、新たな重瞼線の上に別の重瞼線ができること
サンケンアイ(目の上の凹みが軽度~重度の状態)に対し、二重全切開、眼瞼下垂手術を行うと、瘢痕性に癒着して新たな重瞼線が形成されます。しかし上眼瞼挙筋の力が弱い場合、重瞼線を形成する瘢痕の癒着が緩い場合など、重瞼線の上(頭側方向)に別の重瞼線ができて“三重まぶた”のように見えます。これを予定外重瞼線(予定外線)と呼びます。
予定外重瞼線は加齢によって起こることもあります。また埋没法や瞼の上の脂肪(ROOFや眼窩脂肪)を取り過ぎた場合にも起こりうるので、術前にしっかり説明を受けるようにしましょう。
◆予定外重瞼線は消えずに定着してしまう場合があります
通常、術後数週間経てば、瞼縁と作成した重瞼線との間の腫れが引き、重瞼線が下がるため予定外重瞼線は消失します。しかし自然消失せず、そのまま定着してしまうこともあります。自然消失が難しそうだと思われる場合は、手術終了時に「袋とじ」という処置で、予定外重瞼線を予防します。また抜糸後でも予定外重瞼線の可能性がある場合、「袋とじ」を行うことがあります。
◆予定外重瞼線は「袋とじ」で修正します
「袋とじ」の方法
1 手術直後に開瞼を行い、予定外重瞼線の位置を特定して、そこを挟むように複数箇所に糸をかけます。
2 新しい重瞼線の上に折れぐせがつかないように、ボルスター固定を行います。
3 1週間後に抜糸します。
Q:眼瞼下垂に再発の可能性はありますか?
A:まれに再発することがあります。
まれにですが、眼瞼下垂が再発することもあります。また上まぶたの皮膚が加齢によりたるんでくるので、挙筋機能は正常でもたるんだ皮膚によってまぶたを上げにくくなり、視野が狭くなります。このような場合は、たるんだ皮膚を除去するだけで改善されます。
Q:白内障手術の後に眼瞼下垂が生じることはありますか?
A:関連性が報告されています。
最近その関連性が注目されています。白内障・緑内障・硝子体などの各手術後に、眼瞼下垂が生じたと報告されています。なかでも挙筋腱膜の伸展や菲薄化、また一部瞼板からの離断など、手術時に開瞼器で大きく開瞼を行う機械的刺激が原因ではないかと報告されています。
Q:大腿筋膜とゴアテックス、どちらが吊り上げ素材として有用ですか?
A:やはり自分の組織である太腿筋膜がおすすめです。しかし筋膜を採取する必要があり、大腿部に傷ができます。
ゴアテックスは非常にやわらかく、通気性と保温性に優れ、スキーウェアなどに用いられている繊維です。医療用には人工血管や脳硬膜の修復に用いられています。美容外科の分野では被膜(カプセル)ができないため、特に海外で普及しています。長期経過でも石灰化や輪郭が浮き出ることはほとんどありませんが、周辺組織と癒着するために自家組織同様に取り出しにくい場合があります。 ゴアテックスは鼻根部や眉間部の隆鼻にも用いられています。
■挙筋腱膜再固定術
内出血、腫脹、左右差、再発、浅い重瞼線、固定糸が外れラインが薄くなる、深い重瞼線、不整な重瞼線(予定外重瞼線)、不整な瞼縁(アーチ)、開瞼抵抗、低矯正(目の開きが悪い)、過矯正(目が開きすぎる)、角膜炎、ドライアイ、傷の哆開(しかい;傷が開く)、瘢痕形成(傷の肥厚や陥凹など傷跡が残る)、中縫いの糸が出てくることがある、縫合糸膿瘍、眼瞼痙攣、 抑うつ・不眠など自律神経症状、頭痛、目の奥の痛み、ヘリングの法則、自分が想像していた結果と異なるなどが考えられます。
■ゴアテックスによる吊り上げ術
内出血、腫脹、左右差、感染、浅い重瞼線、深い重瞼線、不整な重瞼線(予定外重瞼線)、不整な瞼縁(アーチ)、低矯正(目の開きが悪い)、過矯正(目が開きすぎる)、角膜炎、ドライアイ、傷の哆開(しかい;傷が開く)、瘢痕形成(傷の肥厚や陥凹など傷跡が残る)、中縫いの糸が出てくることがある、縫合糸膿瘍、眼瞼痙攣、頭痛、目の奥の痛み、自分が想像していた結果と異なるなどが考えられます。
■大腿筋膜による吊り上げ術
内出血、腫脹、左右差、感染、浅い重瞼線、深い重瞼線、不整な重瞼線(予定外重瞼線)、不整な瞼縁(アーチ)、低矯正(目の開きが悪い)、過矯正(目が開きすぎる)、角膜炎、ドライアイ、傷の哆開(しかい;傷が開く)、瘢痕形成(傷の肥厚や陥凹など傷跡が残る)、中縫いの糸が出てくることがある、縫合糸膿瘍、眼瞼痙攣、頭痛、目の奥の痛み、自分が想像していた結果と異なるなどが考えられます。また筋膜採取部は、内出血、腫脹、感染、感覚鈍磨、疼痛、 採取部の凹凸、傷の哆開(しかい;傷が開く)、瘢痕形成(傷の肥厚や陥凹など傷跡が残る)、真皮縫合糸(中縫いの糸)が出てくることがある、縫合糸膿瘍、 テープかぶれなどが考えられます。
↑
TOP